Happy Smile without Braces
- Jayme Mika
- Jan 6, 2020
- 1 min read
Let’s take a look at an interesting case.
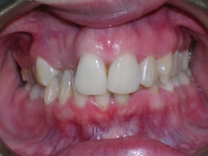
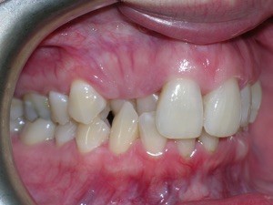
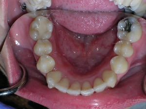
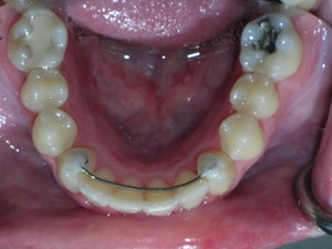
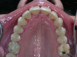
This case was of a young lady who desperately wanted Invisalign, but had been told it was not possible. There was not one, but two teeth that had come in toward the roof of the mouth.
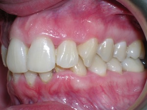
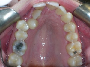
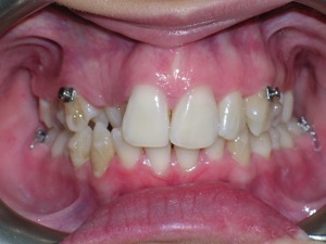
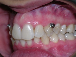
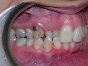
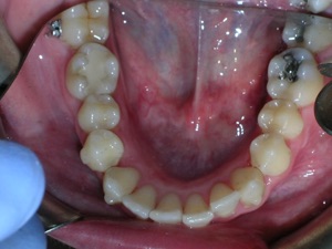
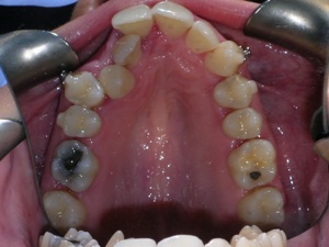
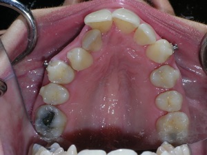
Here are some progress photos.
And more.
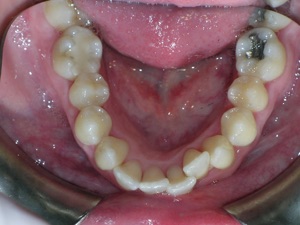
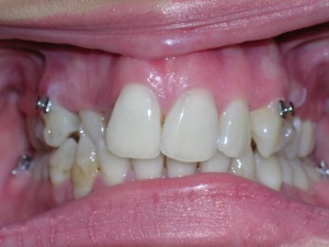
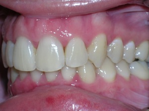
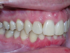
Now for the final results.
Needless to say, we were both quite happy with the outcome. Using elastics we were able to push back the back teeth and create space for the two teeth stuck behind.
Hope you like it too!
- Dr. Mike


























Yes, I know that life is not so easy for any of us. The time I think that it is becoming smoother then after a little moment it starts becoming worst. Why such offshorededicated.net discrimination is there? Why we cannot live with peace and why people are making our lives hell?
Many guys challenge to Hinduism origin, but they are the cheapest guys who are still stand on their place and think that they are the sole proprietor of the at&t phone products. They all believe in worshipping their handmade lords, which is extremely shameful for them.
If we get things in low price as well as of superior quality then definitely we will prefer to use that house painters San Antonio options permanently. Because, in this time everyone like to do fruad with other person and like to loot their money for becoming rich.
Sun is the need of every human being furthermore we cannot visualize the life devoid of it. The mind's eye of https://plasterercentralcoast.com.au/plastering-newcastle/ the man is different than the doom of him. Now with the astrophysical inverters the predicament of the load coming off can be set on and we can get the unusual of the illumination.