Unhappy to Satisfied Smile
- Jayme Mika
- Jan 6, 2020
- 1 min read
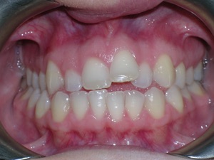
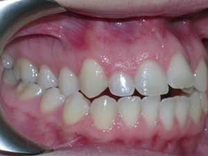
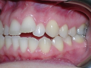
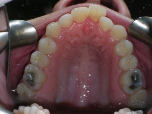
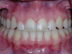
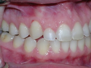
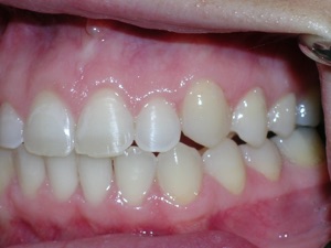
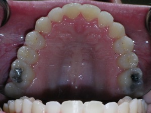
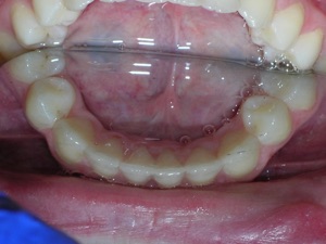
Here’s a case of a young lady who was very unhappy with her teeth. After considering a few options we elected to do Invisalign with trimming.
So here we are at finish with significant improvement.
Hope you like it too!
- Dr. Mike
















Comments