Blocked out Premolar
- Jayme Mika
- Jan 6, 2020
- 1 min read
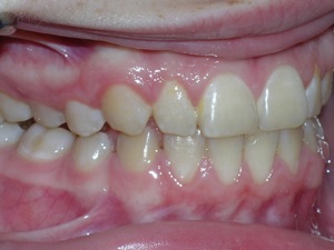
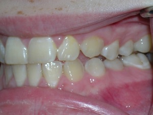
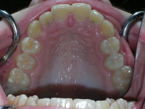
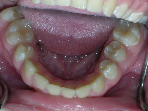
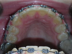
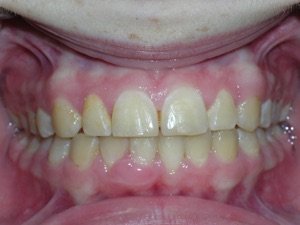
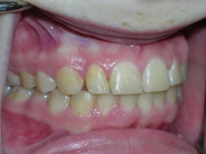
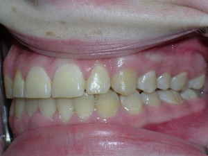
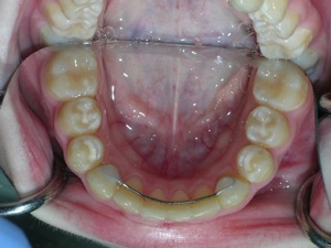
Here’s a fascinating case of a young lady who had a completely blocked out premolar.
With a combination of braces, expansion and trimming we were able to bring it in. Watch!
Here are the results.
Hope you like it too!
- Dr. Mike





















Comments