Unusual Overbite Solved
- Jayme Mika
- Jan 6, 2020
- 1 min read
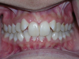
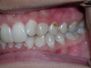
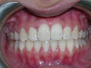
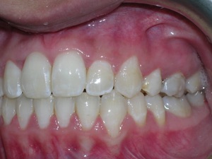
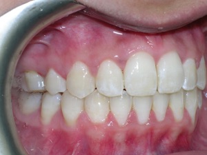
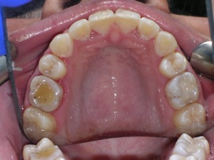
A young woman presented with an unusual kind of an overbite. This type is characterized by front teeth that are pushed back instead of sticking out. She also happened to have a stain on the upper left first premolar (middle tooth).
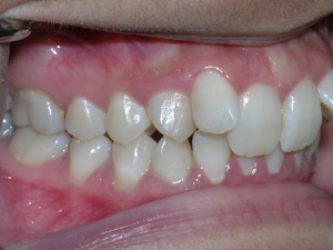
We elected to have both upper first premolars removed to make space. Watch.
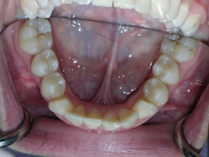
Here are the results.
Hope you like it too!
- Dr. Mike

















Comments