Gum Disease and Bone Loss
- Jayme Mika
- Jan 6, 2020
- 1 min read
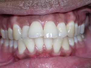
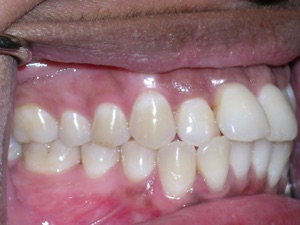
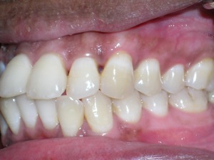
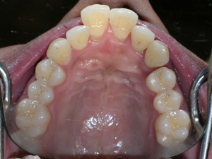
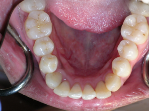
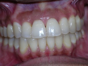
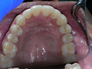
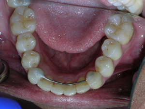
This is a case of a a lovely young woman who presented with gum disease and some bone loss. (It is rare but not unheard of to see gum problems in young people.) We worked with the Gum Specialist to develop a plan, which in her case involved trimming.
Here you can see her as I just saw her, now five years after braces were removed.

Hope you like it too!
- Dr. Mike
















Comments