Braces with Trimming Between Teeth
- Jayme Mika
- Jan 6, 2020
- 1 min read
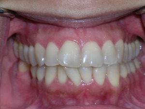
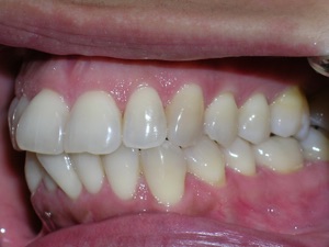
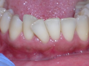
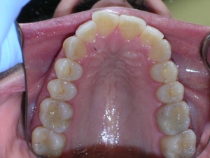
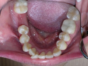
Here’s an example from a woman who had very significant crowding. There was a missing tooth on the bottom right. We considered extracting three other teeth, but decided not to.
Instead we decided to do braces and treat on a non extraction basis with trimming or shaving between teeth to create additional space.
We placed braces and begun a process of trimming or narrowing select teeth. Note that it is a painless procedure, and no anesthesia was needed.
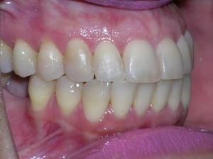
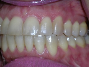
Here are the results.
Hope you like it too!
- Dr. Mike



















Comments