Crowding Solved
- Jayme Mika
- Jan 6, 2020
- 1 min read
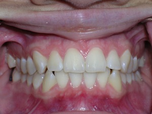
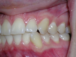
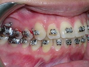
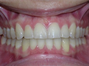
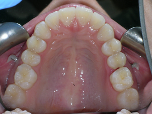
Here’s a case of crowding treated by trimming or narrowing of teeth. Also we utilized temporary anchor devices (mini screws) to help us keep the front teeth from sticking out too much.
Take a look at the braces applied as well as the trimming we did. Elastics were used from the mini screws.
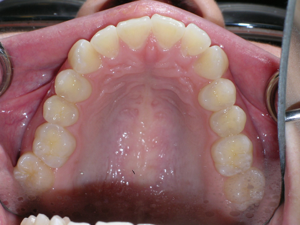
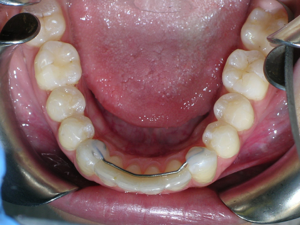
Here are the results. We used a bonded retainer on the bottom teeth.
Hope you like it too!
- Dr. Mike






















Comments