"Crooked Teeth"
- Jayme Mika
- Dec 31, 2019
- 1 min read
This is an interesting Invisalign case. A young man came in to the office with a desire to fix his “crooked teeth.” We decided to have wisdom teeth removed since the bottom wisdom teeth weren’t coming in straight.

In order to straighten the teeth, the patient would have to push the top left teeth to the back using rubber band elastics.

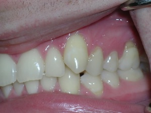
In this instance we choose to “walk” the teeth back one at a time. See the in progress photo below. It corresponds to about the halfway point seen in the movie simulation.

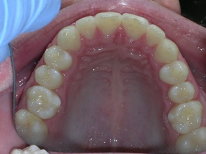
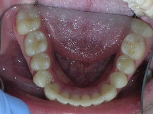
Here’s our after photos. The patient did really well with his treatment. He used his trays and elastics as directed.
Hope you like it too!
- Dr Mike.














Comments