Impacted Upper Front Tooth
- Jayme Mika
- Jan 6, 2020
- 1 min read
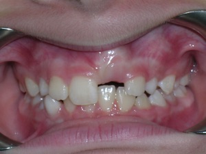
Here’s an interesting case of an impacted (stuck) upper front tooth. It is often not clear why this happens.
Though there is a thought that early trauma affects and alters root formation, causing the roots to be bent or badly shaped. It doesn’t happen often, but when it does there can be challenges.

Braces were placed and a surgeon uncovered the tooth. We slowly brought the tooth down.
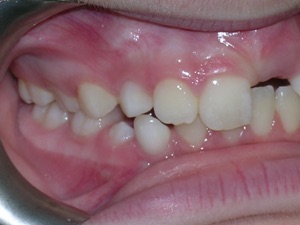
The tooth gradually erupted. The gum heights are a bit different, but it wasn’t a problem for this patient.

Hope you like it too!
- Dr. Mike













Comments