Straighten Teeth with Invisalign
- Jayme Mika
- Dec 31, 2019
- 1 min read
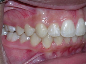
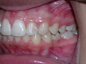
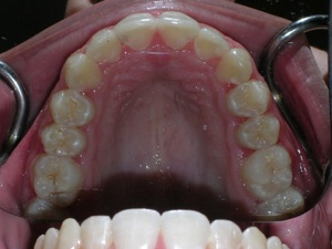
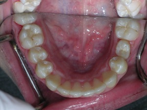
In this case, a young woman came to us with a desire to straighten her teeth. We elected to do Invisalign treatment with some enamel reduction and some dental arch expansion. Take a look...
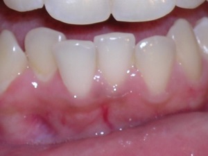
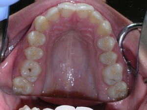
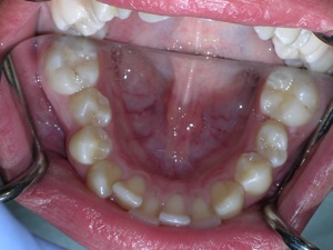
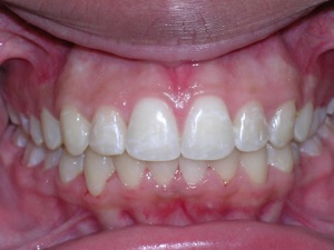
Here she is on the day of appliance removal. You can see how the crossbite on the right has improved, as well as the lower front teeth crowding. Note that we elected to leave the lower second premolar in it’s rotated form.
Hope you like it!
- Dr. Mike
















Comments