Open Bite Solved with Porcelain Braces
- Jayme Mika
- Jan 6, 2020
- 1 min read
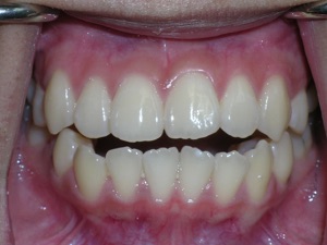
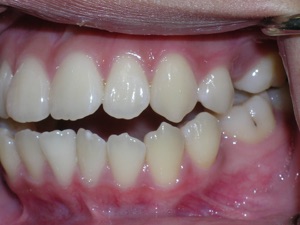
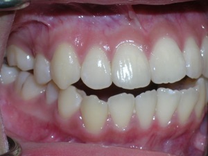
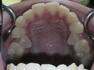
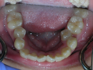
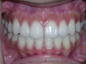
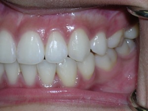
So here’s a case of an open bite, with a protrusion. There was a fair degree of crowding as well.
We decided to do porcelain brackets and have select teeth removed. Take a look.
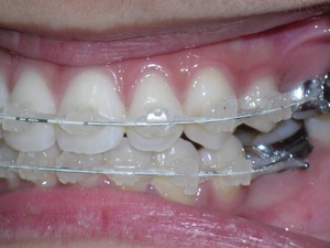
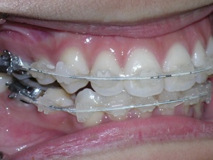
Here are the porcelain braces applied.
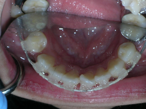
Here are the results.
Hope you like it too!
- Dr. Mike



















Comments