Severe Crowding Solved with Braces
- Jayme Mika
- Jan 6, 2020
- 1 min read
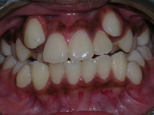
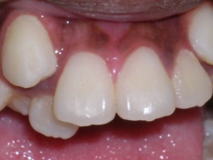
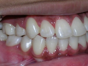
Here’s a young lady who presented with severe crowding. Often we think of crooked teeth as being limited to front teeth. Here one can see that back teeth can also get crowded. Braces were placed and select teeth were removed. Watch.
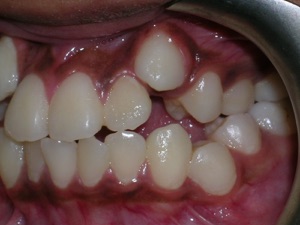
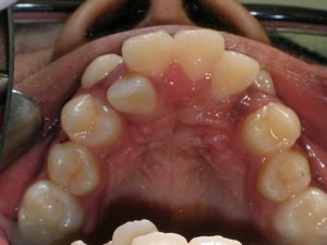
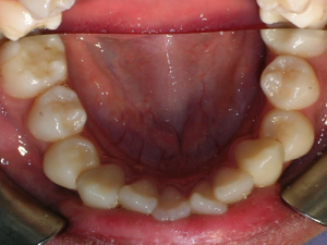
Here again we used a “Nance” holding arch. Look at some photos while the braces are on.
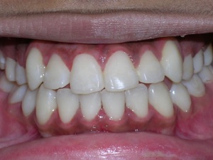
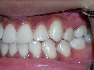
Some nice after photos.
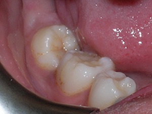
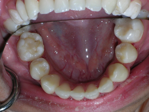
Look at the before and after of the second molar on the right side.
Hope you like it too!
- Dr. Mike




























Comments