Significant Crowding
- Jayme Mika
- Jan 6, 2020
- 1 min read
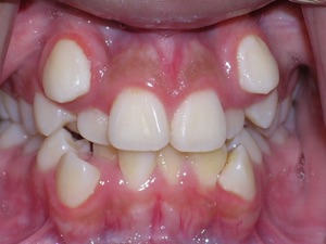
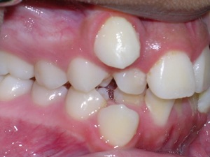
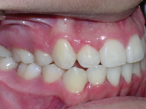
Here’s an example from a young boy who had very significant crowding. One can see that the canines on top and bottom are blocked out. There was also an overbite. The combination made the case challenging. Watch.
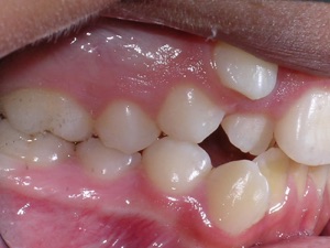
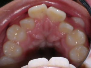
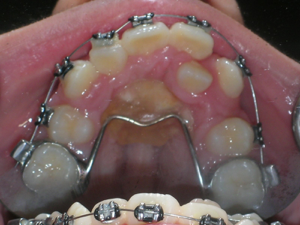
First Premolars were removed. We used an anchor device on the top jaw known as a “Nance” holding arch to help us retract the canines into the first premolar space. The holding device is used to reduce shifting of the top back teeth forward.
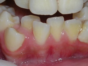
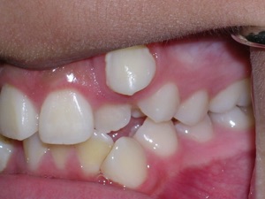
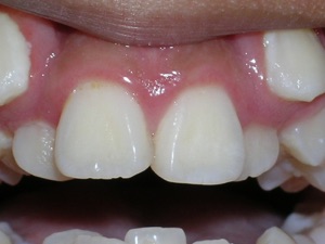
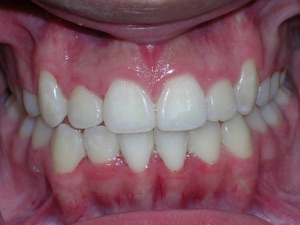
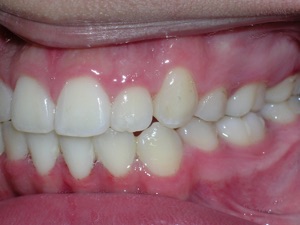
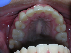
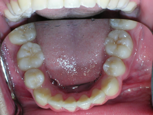
Here is what he looked like on the day that the braces were removed.
In the final photo, you can see the bonded retainer we used. A top nighttime removable retainer was made.
Hope you like it too!
- Dr. Mike

























Comments