Space Between Two Front Teeth
- Jayme Mika
- Jan 6, 2020
- 1 min read
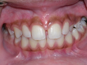
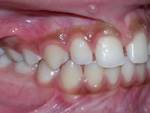
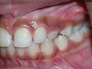
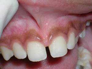
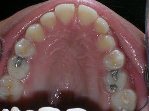
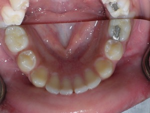
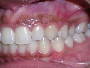
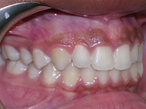
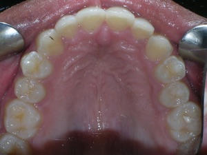
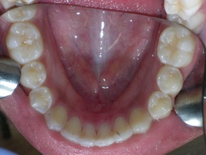
his is a young lady who presented with a space between her front teeth. There was a string of tissue (known as a frenum) which was prominent.
We elected to place braces and then have the string surgically cut. See what happened.
Here are the results.
Hope you like it too!
- Dr. Mike

















Comments