Straighten Crooked Teeth
- Jayme Mika
- Dec 31, 2019
- 1 min read
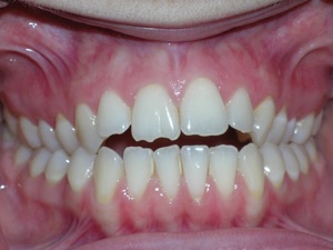
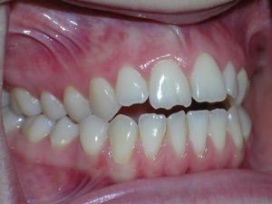
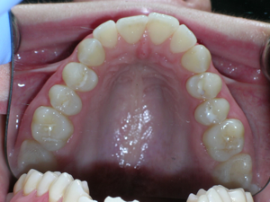
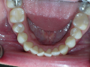
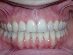
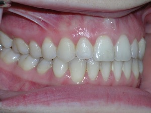
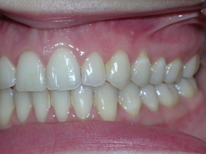
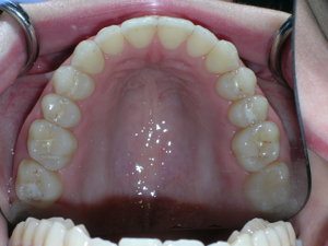
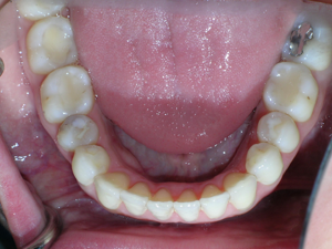
In this case, a young woman came to us with a desire to close her open bite and straighten her crooked teeth. We elected to do Invisalign treatment with some enamel reduction and some dental arch expansion. Take a look...
This worked out nicely to close the bite and correct the crowding.
Hope you like it!
- Dr. Mike
















Comments